A letört vagy súlyosan sérült fogak helyreállítására többféle alternatíva áll rendelkezésünkre. Ebben a cikkben áttekintjük, hogy milyen lehetőségek közül választhatnak pácienseink, ha a Jenei fogászat érdi vagy 17. kerületi rendelőjét választják.
Mikor van szükség fog felépítésre?
A fog felépítését akkor alkalmazzuk, ha a fog részben sérült vagy letört, de még elegendő foganyag maradt a helyreállításhoz. Ilyenkor speciális tömőanyaggal rekonstruáljuk a fogat, visszaállítva annak eredeti formáját, funkcióját és esztétikai megjelenését. Fontos azonban, hogy a felépítés csak akkor lesz tartós, ha a fog legalább 2 mm magasságban stabil alapot biztosít. Ha ennél kevesebb foganyag maradt, a fog nagyobb eséllyel törhet le újra, ezért ilyen esetekben inkább a koronával történő helyreállítás javasolt. Különösen igaz ez gyökérkezelt fogakra, amelyek már nem élők, nincs vérellátásuk, emiatt pedig törékenyebbé válnak. Ha a gyökérkezelt fogon elegendő foganyag marad, lehetőség van felépítésre, de hosszú távon a korona biztosít stabilabb védelmet és megbízhatóbb megoldást.
Fogkorona: mikor szükséges?
A fogkorona abban az esetben válik szükségessé, ha a fog olyan mértékben sérült vagy letört, hogy a felépítés már nem elegendő. Ha például a fog jelentős része hiányzik, a felépítés nem tudná megfelelően visszaállítani a fog formáját és funkcionalitását, továbbá fennáll a veszélye, hogy újból letörik. A korona egy olyan borítás, amely teljesen körülöleli a fogat, megvédve azt a további sérülésektől. A fogkorona akkor is ideális megoldás, ha a foggyökér még ép, de a fog koronai része már nem stabil.
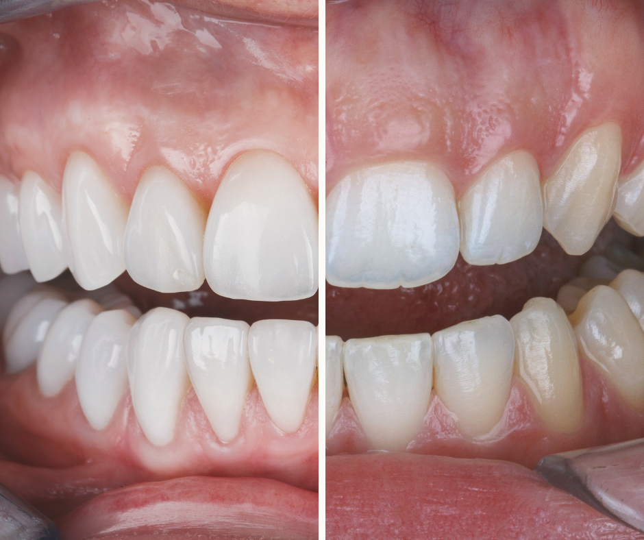
Letört fog csapos megerősítése
Amennyiben a fog koronai része túlságosan sérült vagy hiányos, csapos fogfelépítéssel menthetjük meg azt. Ilyen esetekben a fog gyökerébe apró csapokat helyezünk, amelyek biztosítják a felépítés stabilitását. Ezek a csapok hasonló funkciót töltenek be, mint az házépítés esetén a vasbeton megerősítés: belső tartást adnak, amire a tömőanyag megfelelően rögzülhet. Ezt az eljárást általában gyökérkezelt fogaknál alkalmazzuk, ahol a fog belseje már ki van tisztítva, így a csap stabil alapot biztosít a felépítéshez. Miután a fog koronai része így helyreállt, ajánlott egy koronát készíteni rá a hosszú távú tartós megerősítés érdekében.
Mikor nem lehet a fogat megmenteni?
Előfordulhatnak olyan esetek, amikor a fogat már nem lehet megmenteni felépítéssel vagy pótlás készítésével, és csak az eltávolítás nyújt megoldást. Ilyen például, ha a fog teljesen íny alatt tört le – mivel ebben az esetben már nem lehet felépíteni – vagy a törés függőlegesen a gyökeret is érinti, esetleg a gyökérkezelés ellenére sem szűnik meg a gyökércsúcsi gyulladás. Az eltávolított fog pótlására a modern implantátumok hosszú távú, stabil megoldást kínálnak esztétikai kompromisszumok nélkül.
Milyen anyagból készülnek a fogkoronák?
A fogkoronák különböző anyagokból készülhetnek, amelyek mind más-más előnyöket kínálnak. A leggyakrabban használt anyagok a fémkerámia, a préskerámia és a cirkónium. A fémkerámia fogpótlás esetében a korona belső váza fémből készül, amelyre egy kerámia réteg kerül égetésre. Ez a típus rendkívül tartós, azonban esztétikailag nem mindig a legtermészetesebb megoldás, mivel a fém árnyalata idővel átüthet a kerámia rétegen. A préskerámia fogpótlások teljes egészében kerámiából készülnek, így sokkal esztétikusabbak és természetesebb megjelenést nyújtanak. Bár nagyon szép eredményt adnak, kevésbé erősek, mint a fémkerámia koronák, ezért leginkább az elülső fogak pótlására használjuk őket. A cirkónium fogpótlás a legmodernebb megoldásnak számít. Ezek a koronák rendkívül erősek és esztétikusak, mivel a cirkónium-dioxid áttetsző anyag, amely nagyon hasonlít a természetes fogak színéhez és fényáteresztő képességéhez. Emellett biokompatibilis, tehát nem vált ki allergiás reakciókat, így biztonságos és tartós választás.
A Jenei fogászat érdi és 17. kerületi rendelőiben is lehetőség van a különböző típusú fogpótlások elkészítésére. Szakképzett fogorvosaink segítenek Önnek a hosszú távon tartós és esztétikailag is kielégítő megoldás kiválasztásában.
